Главная Карта сайта
Алескеров Эльчин Шахинович

Имплантация →

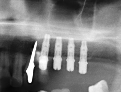
Синус-лифтинг




Синус-лифтинг (поднятие дна гаймеровой пазухи). Данная процедура относится только к верхней челюсти. Проводится в случаях недостаточной высоты кости между краем костного гребня верхней челюсти и дном гаймеровой (верхнечелюстной) пазухи.
Различают открытый и закрытый синуслифтинг по способу доступа к пазухе. Закрытый — это доступ через отверстие импланта, а открытый — это боковой доступ через преддверие полости рта.

Принцип операции в том, что через любой из доступов, в пазуху вводится костное вещество, которое превращается в собственную кость в течение полугода. В зависимости от толщины альвеолярного отростка зубные имплантаты могут быть установлены либо одновременно с выполнением синус-лифтинга, либо через некоторое время после заживления участка.

статья «Синус-лифтинг» добавлена 2008-11-15 года